Anyone here able to read a Knee MRI? IT Band issues

Hello all! I have been dealing with IT band issues for exactly 4 years now…and decided to get an MRI.
I have a follow up appointment late next week, but am growing impatient…was wondering if anyone from ST could shed some light on my MRI’s below.
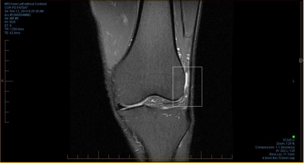
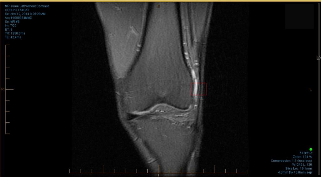
All I know is light colors could signify fluid…the light color is also whee i experience pain.

i have been through phyiscal therapy, rolling, stretching…but not much improvement; so of course i am looking for something bio-mechanical to blame.
recently by just feeling around, it seems there is a sharp corner on the outside of my left knee (IT band injured)…which feels more blunt on my right knee.
i tried looking for the corner in my images…and this is the best thing i could come up with (first image below with the red box).

but yeah, my story has been the same. it seems the faster i run, the sooner the problem surfaces. I will first feel a sharp twinge and then after that i have to stop running…or the pain gets worse. recently, the pain starts after:

  • all out mile sprint and then a couple mile warm up
  • three mile push pace
  • 5-6 mile…slow run/shuffle, intervals of 10 minutes with 1 minute break in between

Afterward, i have a dull pain for about a week, where ice seems to be the best way to accelerate recovery.

i have been stretching 3 times a week, foam rolling almost every day, and pistol squats + hip abductor exercises 1-2 times a week.
recently, I can get away without pain with a slow run of ~ 5.5 miles, intervals of 7 minutes with 1 minute break in between.
Road biking does not seem to cause issues; the furthest i have gone is 30 miles though (practice) and 26 miles during an olympic distance TRI.

Any help would be appreciated!!!

http://i1178.photobucket.com/albums/x379/urbansniper308/TRI/MRI_2_zpsc0fb1983.jpg

http://i1178.photobucket.com/albums/x379/urbansniper308/TRI/MRI_1_zpsd2f03188.jpg

Look more into running form. If you are a heel striker… look to forefoot striking, perhaps midfoot might work as well. Up to 10 years ago I got fluid build up behind my knee because I ran heel strike… I also walk like a duck. I gave up running altogether. Couple years ago I learned about forefoot strike… pushed it… it worked for me… couple stress fractures in the foot, but hey as long as it is not the knee. Completed 9 marathons after that switch.

You’d most likely benefit from graston or dry needling on your quad. Dry needling hurts but it works really, really well. You’re not going to be able to get in there as well with a foam roller or even a lacrosse ball. You need someone else to break up the adhesion. It’s highly unlikely there’s anything wrong with your actual it band. Usually there’s an adhesion or knot in one of your quad muscles. For me it was high up between my rectus femoris and vastus lateralis.

Find a good pt or chiro that works with athletes.

I have an IT band injury story that I’ll share. I can’t read an MRI but my results where surprising.

I injured my IT Band in October 2013. Severe pain whenever running or biking and often just standing. Finally got an MRI in March 2014. The injury was impacting my daily activities and there was definitely no running. After some ART i was able to bike relatively pain free beginning in about Feb 2014.

The results from the MRI showed a “longitudinal split” in my IT band near where it connects to the knee. After speaking with two sports medicine doctors I had pretty much accepted that my running career was over. It seemed like an unknown injury with very little medical documentation available and few options. An orthopedic surgeon I spoke with was not familiar with any type of surgery out there for this specific type of injury.

I had signed up early for a 70.3 in Sept 2014 and figured since I could still swim and bike and had some decent fitness there I’d try it and just expect a long walk in to the finish. Turns out, after no running for 10 months, I had zero IT band pain for the entire half marathon. I eased back into running over the last 6 weeks and am now running every day (up to an hour) with no IT pain.

Neither a local sports medicine doctor or orthopedic surgeon I’ve seen recently have any explanation on why the pain just disappeared. I’m guessing the forced rest was the answer. Unfortunate that it was 10 months of rest but I’m really optimistic about the future.

I can’t read the MRI, but I had a similar issue like you. I was diagnosed by my sports doc with IT band. Went through PT without much improvement. He decided to do an MRI. Turns out I had a bone bruise caused by a hole in my articular cartilage, which was producing IT-band like symptoms. I wouldn’t try to speculate until you get the doctor’s take. Good luck!

-Pete

Look more into running form. If you are a heel striker… look to forefoot striking, perhaps midfoot might work as well. Up to 10 years ago I got fluid build up behind my knee because I ran heel strike… I also walk like a duck. I gave up running altogether. Couple years ago I learned about forefoot strike… pushed it… it worked for me… couple stress fractures in the foot, but hey as long as it is not the knee. Completed 9 marathons after that switch.

wow, that is awsome you were able to overcome it!

I have been recently working/focusing on form. i am a heel striker…overpronator, and slightly bow legged. Have been running on some brooks cadence shoes, which has slight correction for pronation.

I can read an MRI. It looks like your IT band is unhappy. You already knew that. Unfortunately the MRI can’t tell you how to fix it.

You will get many different n=1 anecdotes. My IT bothered me for a year or two. Nothing fixed it until I quit running entirely for a couple years in med school. I am sure it healed quicker than that.

Look more into running form. If you are a heel striker… look to forefoot striking, perhaps midfoot might work as well. Up to 10 years ago I got fluid build up behind my knee because I ran heel strike… I also walk like a duck. I gave up running altogether. Couple years ago I learned about forefoot strike… pushed it… it worked for me… couple stress fractures in the foot, but hey as long as it is not the knee. Completed 9 marathons after that switch.

wow, that is awsome you were able to overcome it!

I have been recently working/focusing on form. i am a heel striker…overpronator, and slightly bow legged. Have been running on some brooks cadence shoes, which has slight correction for pronation.

IT band pain has been correlated with weak gluteus medius. Weak glute medius often results in run cross over gait. I have done run gait analysis and movement screening on lots of people with IT band pain. Almost every one I saw had some degree of run cross over gait and more glute medius weakness on the affected side. It is a two step fix when we find that situation. We fix the glute medius (and maximus) weakness, then we re-train the run gait. I like elastic band walk outs and single legged jump rope, along with some glute max work (split squats, hip thrusts). We also do some core work. We do that 2-3 times per week. For running, we add in some “running the line” drills. Basically run along a line in the road and don’t step on it. We have had some success with that approach. It is a slow fix though (think 6+ months to re-train run gait to any degree). I am convinced that most can reduce IT band pain by addressing biomechanical issues.

Lately I am experimenting with loaded rucking for glute medius and cross over issues. I find that I simply cannot walk with a cross over gait with more than 30lbs on my back. Too early to tell about the rucking though. I believe that anyone experiencing IT band pain should be looking at biomechanics as a possible source of the problem.